症例紹介
- Aさん 過去にぶつけた前歯(外傷歯)が抜歯になった
-
治療前
治療前のお口の中の状態
治療前のパノラマX線写真
右上の前歯の治療を希望し、紹介を受け来院された患者さんです。
この歯[A]は子供の時に転んでぶつけ、根の治療がされていましたが、レントゲン上で見ると、根の途中部分の外側から吸収が始まってきていました。
(※外傷歯について:歯をぶつけるなど、強い衝撃が与えられた場合、無症状に経過していても数年後に歯根の異常吸収や骨との癒着が起きることがあります。)根の一部を切除して歯を残せる場合もありますが、今回は残念ながら抜歯となりました。 左の口腔内写真は、抜歯直後の状態です。
治療後
治療後のお口の中の状態
治療後のパノラマX線写真
歯を抜いたところに、1本インプラント治療を行いました。[B]
根だけでなく周囲の骨にも一部吸収がみられましたが、経過は良好で、冠せ物と歯ぐきの境目も自然に仕上がりました。患者さんにも「周りの歯がほとんど健康な歯なので目立つのではと心配だったが、自分の元々の歯のようで、まったく違和感がない」と喜んでいただけました。
トータルの治療費用 432,000円 通院回数や治療期間 治療期間は4ヶ月でした(通院回数15回)。 主なリスクや副作用 手術後は、痛み、腫れ、まれに出血、創面の裂開、インプラントが骨結合しない、といったことがあり得ます。 ※治療費用は、インプラント上部補綴(かぶせもの)の種類や材質によって、安価にすることができます。
- Bさん 奥歯がなく咬みづらい
-
治療前
治療前のお口の中の状態
治療前のパノラマX線写真
5年程前に歯を抜いてから、ずっと咬みづらく、入れ歯を作ったものの慣れることができませんでした。さらに上の前歯の隙間も開いて、気になるようになってきたとのことで当クリニックを受診されました[A]。
右上、左下の奥歯がないことが咬みづらさの原因と考えられ、まず左下にインプラントを1本埋入しました[B]。
左上前歯の隙間に対しては冠せ物で悩みを解消することにしました。
治療後
治療後のお口の中の状態
治療後のパノラマX線写真
左下奥歯に咬める部位ができたため、咬み合わせが格段に安定しました。
前歯2本も根っこの治療を施し、冠せ物はハイブリッドセラミッククラウンで治療することで、歯の隙間も解消され、審美性もアップしています[C]。
今後もメインテナンスでしっかり経過観察していく予定です。
トータルの治療費用 475,900円 通院回数や治療期間 治療期間は7ヶ月でした(通院回数20回)。 主なリスクや副作用 手術後は、痛み、腫れ、まれに出血、創面の裂開、インプラントが骨結合しない、といったことがあり得ます。 ※治療費用は、インプラント上部補綴(かぶせもの)の種類や材質によって、安価にすることができます。
- Cさん 歯根が破折しているため抜歯に
-
治療前
治療前のお口の中の状態
治療前のパノラマX線写真
以前、前歯4本を冠せ物で治療しており、そのうちの1本である右上1番がここ数年で動揺し歯肉も腫れて、冠せ物も外れたため当クリニックを受診されました[A]。
また左下奥の歯がないところに入れ歯を作ったものの、慣れずに使っていませんでした。
診断の結果右上1番は破折しており抜去し、インプラント治療になりました。前歯の冠せ物もキレイに作り直しました。
また、左上2番の根の先にも病巣があったため、マイクロスコープ下で歯根端切除術も行いました。[B]
治療後
治療後のお口の中の状態
治療後のパノラマX線写真
治療後、炎症による歯肉の腫れも落ち着き、見た目も患者さんに満足していただきました。今後は、左下奥の歯がないところに対して、追加でインプラント手術を希望されているため行っていく予定です。
着実にしっかりした咬み合せへと治療が進んでいます。
トータルの治療費用 498,900円 通院回数や治療期間 治療期間は6ヶ月でした(通院回数15回)。 主なリスクや副作用 手術後は、痛み、腫れ、まれに出血、創面の裂開、インプラントが骨結合しない、といったことがあり得ます。 ※治療費用は、インプラント上部補綴(かぶせもの)の種類や材質によって、安価にすることができます。
- Dさん ブリッジが困難と言われ当クリニックへ
-
治療前
治療前のお口の中の状態
治療前のパノラマX線写真
今まで通院していた歯科医院で、左下の歯がない部分をブリッジで治療するには、前後の歯が弱いため困難だと言われていました。[A] 何かいい方法はないか、ということで治療相談のため当院を受診されました。
まず、根の治療が不十分な歯には再治療をしっかり行い、前後の歯にも負担のないインプラント治療を行うことになりました。左下に2本インプラントを埋入しました。[B]
治療後
治療後のお口の中の状態
治療後のパノラマX線写真
反対側右下のブリッジもつくり直し、強度と審美性をアップしました。[C]
患者さんからは「インプラントを行ったおかげで、何も問題なく咬めるようになった」と大変喜んでいただきました。
トータルの治療費用 777,300円 通院回数や治療期間 治療期間は5ヶ月でした(通院回数15回)。 主なリスクや副作用 手術後は、痛み、腫れ、まれに出血、創面の裂開、インプラントが骨結合しない、といったことがあり得ます。 ※治療費用は、インプラント上部補綴(かぶせもの)の種類や材質によって、安価にすることができます。
- Eさん ブリッジからインプラントに
-
治療前
治療前のお口の中の状態
治療前のパノラマX線写真
右下は以前ブリッジが入っていましたが、土台となる歯が炎症を起こしていたため抜歯しました。歯がなくなった部位に対し、当院でのインプラント治療を希望されたため受診となりました。
[A]治療計画を経て、右下の2本歯がない部分に2本インプラントを埋入しました。[B]一部骨が足りなかった部位には、骨の造成処置をしました。
治療後
治療後のお口の中の状態
治療後のパノラマX線写真
冠せ物は奥歯で咬む力が最大限かかることから強度・耐久性にも優れたプラチナゴールドで作製し、外側は金属色が出ないように、白い材料でコーティングしました[C]。患者さんからは「咬み合わせ、高さも左右とも安定している」との事でした。
年齢的にも若い患者さんでしたのでこれからの人生長く使っていただくために、定期的なメインテナンスは欠かせません。
トータルの治療費用 850,000円 通院回数や治療期間 治療期間は6ヶ月でした(通院回数15回)。 主なリスクや副作用 手術後は、痛み、腫れ、まれに出血、創面の裂開、インプラントが骨結合しない、といったことがあり得ます。 ※治療費用は、インプラント上部補綴(かぶせもの)の種類や材質によって、安価にすることができます。
- Fさん 左右の奥歯がなく咬めない
-
治療前
治療前のお口の中の状態(上顎)
治療前のお口の中の状態(下顎)
治療前のパノラマX線写真
右下の奥歯が腫れ、痛みが伴ってきたため当クリニックを受診されました。また入れ歯を5年近く使っていましたが、取り外しのいらないインプラントに興味があり、それも相談したいとの事でした。
右下の根の先に炎症の起きている歯の治療を行い、冠せ物で治しました。右上、左下の奥歯のない部分にそれぞれインプラント3本ずつ希望されたので2回に分けての埋入手術となりました[A]。
治療後
治療後のお口の中の状態(上顎)
治療後のお口の中の状態(下顎)
治療後のパノラマX線写真
インプラント埋入した部分の冠せ物は、咬む面は力に耐えるように金属を、見える外側の部分は白い材料で治しました[B]。
「以前は口を大きく開けて笑えなかったが今はキレイに治って本当に感謝している」とおっしゃっていただきました。メインテナンスにもしっかり来ていただいており、奥歯でしっかり咬めて経過順調です。
トータルの治療費用 2,022,700円 通院回数や治療期間 治療期間は7ヶ月でした(通院回数20回)。 主なリスクや副作用 手術後は、痛み、腫れ、まれに出血、創面の裂開、インプラントが骨結合しない、といったことがあり得ます。 ※治療費用は、インプラント上部補綴(かぶせもの)の種類や材質によって、安価にすることができます。
- Gさん 入れ歯が合わず使えない
-
治療前
治療前のお口の中の状態
治療前のパノラマX線写真
10年以上前に奥歯に入れ歯を作製しましたが、合わなくて使えませんでした。
奥歯が根だけの状態であったため食事中にしっかり噛むことができず、食事制限を余儀なくされていました[A]。それが原因でストレスの溜まる食生活を営んでいました。
治療としては歯のない部分である右上左上にそれぞれ2本ずつ、右下に2本の計6本インプラントを埋入しました[B]。
また咬み合せは今まで奥歯がなく、かなり深くなっていたので他の歯も冠せ物で治し、高さを全体的に上げました。
治療後
治療後のお口の中の状態
治療後のパノラマX線写真
患者さんからは「インプラント治療を行って本当に良かった。以前は旦那さんが色んな食べ物をおいしそうに食べているのを見てうらやましく思っていたが、今は一緒に何でも食べられる」と大変喜んでいただけました。
メインテナンスにもしっかり来てもらえているので治療後の経過もたいへん良好です。
トータルの治療費用 2,410,900円 通院回数や治療期間 治療期間は8ヶ月でした(通院回数18回)。 主なリスクや副作用 手術後は、痛み、腫れ、まれに出血、創面の裂開、インプラントが骨結合しない、といったことがあり得ます。 ※治療費用は、インプラント上部補綴(かぶせもの)の種類や材質によって、安価にすることができます。
- Hさん 歯周病で歯がグラグラして咬めない
-
治療前
治療前のお口の中の状態
歯がグラグラと大きく揺れて、満足に噛むことができません。 見た目も悪く、苦しまれていました。
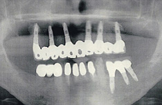
治療前のパノラマX線写真
当クリニックでも、どうしていいものか悩んでしまったほど重症の歯周病でした。
治療後
治療後のお口の中の状態
初診の時とは、別人のように明るい笑顔で、体調も回復し、美しくなりました。
治療後のパノラマX線写真
上あごはすべてインプラントにし、頑丈に上部の冠せ物をつくりました。 下あごは、部分的なインプラント治療と併せて、歯周治療と根の治療も行いました。
トータルの治療費用 3,780,000円 通院回数や治療期間 治療期間は9ヶ月でした(通院回数30回)。 主なリスクや副作用 手術後は、痛み、腫れ、まれに出血、創面の裂開、インプラントが骨結合しない、といったことがあり得ます。 ※治療費用は、インプラント上部補綴(かぶせもの)の種類や材質によって、安価にすることができます。








